Imágenes precisas para diagnósticos exactos

Clínica de Radiología Dental Especializada

NOSOTROS

Por qué elegir
a Photodent

En Photodent, revolucionamos la radiología dental con tecnología de vanguardia y un enfoque centrado en la precisión y la comodidad. Nos hemos propuesto transformar la experiencia de dentistas y pacientes, ofreciendo procesos ágiles y diagnósticos confiables.

Atención sin esperas

Procesos optimizados para una experiencia eficiente.

Calidad superior en imagen:

Resolución excepcional, adaptado a cada paciente para diagnósticos más precisos.

Entrega rápida

Resultados digitales en tiempos récord, olvídate de las entregas en 7 días.

Tecnología de vanguardia

Equipos de última generación para un mejor diagnóstico.

Imágenes precisas para diagnósticos exactos 

SERVICIOS DE IMAGENOLOGÍA DENTAL DE ALTA PRECISIÓN

Nuestros servicios

Imágenes Claras y Eficientes

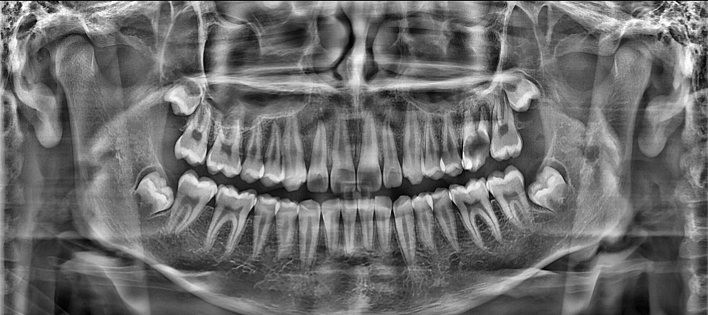
Realizamos radiografías extraorales e intraorales: panorámicas, laterales de cráneo, PA AP, carpal, senos maxilares y ATM, con ajustes de resolución personalizados para cada paciente, tanto niños como adultos.

  • Parámetros de toma adaptados a cada paciente
  • Imágenes nítidas para diagnósticos confiables
  • Entrega en minutos

Tomografía CBCT 3D
Precisión para Diagnósticos Complejos

Contamos con el volumen FOV más grande del mercado (21x16), ideal para planificación de cirugía maxilofacial y análisis craneofacial. Además, ofrecemos una resolución de hasta 75 μm en volúmenes pequeños (5x5), permitiendo visualizar los detalles más finos en tratamientos de endodoncia.

  • Reportes detallados para O.D. y zonas específicas
  • -Visor dental con biblioteca de implantes y visor móvil disponible
  • Imágenes de alta resolución para diagnóstico preciso

Fotografía Clínica
Documentación de Alta Calidad

Realizamos fotografía intraoral y extraoral con la mejor calidad en la ciudad, permitiendo un registro preciso para seguimiento de tratamientos.

  • Imágenes profesionales para seguimiento clínico
  • Iluminación y enfoque óptimos para mejor visibilidad
  • Fundamental en estudios ortodóncicos y estéticos

Escaneo Intraoral
Innovación y Comodidad

Capturamos modelos precisos sin necesidad de materiales convencionales, mejorando la experiencia del paciente y optimizando los procesos de diagnóstico y tratamiento.

  • Con el soporte del mejor escáner intraoral del mercado
  • Alta precisión para restauraciones y ortodoncia
  • Toma de color
  • También vamos a tu cónsultorio (pregúntanos)

Impresión 3D
Modelos de Alta Durabilidad

Fabricamos modelos de estudio en resina que no se deforman ni derriten, ideales para encerados, guías quirúrgicas, guardas y más.

  • Materiales resistentes y de calidad
  • Precisión en modelos estereolitográficos (1:1)
  • Ideal para planificación y personalización de tratamientos

Guardamos tus estudios por 5 años

Tecnología utilizada: 

  • Velocidad de entrega inigualable - Entrega de combos de ortodoncia de 24 a 36 hrs hábiles
  • Almacenamiento digital de estudios por 5 años
  • Calidad de imagen superior
  • Atención sin esperas y sin citas omplicadas
  • Talleres de actualización – Gratuitos para nuestros dentistas referidores
  • Experiencia ágil, cómoda y sin esperas

Síguenos

Contáctanos

Teléfono

221 179 4983

Correo electrónico

hola@photodent.com.mx

Dirección

Boulevard 22 Sur 4325 local 8, Villa Carmel, CP 72567. Puebla, Puebla

Horario

Lunes- Viernes
9:00 - 19:30
Sábados
9:00 - 13:30